
Dra. Iris Olivas graduada de la Universidad de Rosarito ha dirigido sus estudios y su práctica a la cosmética y mínima invasión en odontología, con el objetivo de producir el menor impacto para la boca del paciente realizando tratamientos con la menor perdida de tejido posible.
Su especialidad son tratamientos restaurativos buscando siempre los materiales dentales compatibles con el cuerpo del paciente, por eso mismo trabaja en conjunto con especialistas de diferentes ramas de la odontología para garantizar que se le está dando el mejor tratamiento para la necesidad del paciente.
Ya que teniendo una cavidad oral saludable promueves una mejor salud para tu cuerpo y previenes futuros problemas de salud. Por esto mismo la Dra. Iris Olivas considera que es necesario conocer al paciente por medio de correo o teléfono antes de su cita, para que sea mas placentera su visita dental, conociendo su salud y sus necesidades.
DDS. Iris Olivas graduated with honors in “Universidad Rosaritense” and is committed to her practice in cosmetic and minimally invasive dentistry.
You will appreciate her skills in restorative treatments, she is always checking the best material compatible with your body and your needs, always following the holistic pathway. You can be sure that having a healthy mouth is the best choice to make to improve your health while promoting better response to your medical treatments if you already have a chronic condition or prevent future health problems.
Tijuana se ha ganado la reputación en las últimas décadas de un alta calidad en sus tratamientos dentales, principalmente para los extranjeros ya que pueden en comparación de su país y también puede utilizar su seguro médico americano.
Para que puedas comprobar por qué muchos pacientes prefieren venir a Tijuana mándanos tu información, sin costo, para realizar un plan de tratamiento al correo de info@dentistaolivas.com
Tijuana también es conocida como el nuevo paraíso gastronómico de México y también es famoso por su cercanía a más de 50 vinícolas en Valle de Guadalupe.
¿Te interesa hospedar durante tu tratamiento y quieres recomendaciones de estancia?, presiona aquí para saber más.
Tijuana has earned the reputation in recent decades of high-quality dental treatments, mainly for foreigners since they can save 40%-60% compared to their country and can also use their American medical insurance. So you can see why so many patients prefer to come to Tijuana. Send us your information, at no cost, to make a treatment plan by email to info@dentistaolivas.com.
Tijuana is also known as the new gastronomic paradise of Mexico and is also famous for its proximity to more than 50 vineyards in Valle de Guadalupe. It is very common for patients to come down to Tijuana for health care and combine their trip with vacacion.
Interested in staying during your treatment and want to hotel recommendations?, click here to learn more.
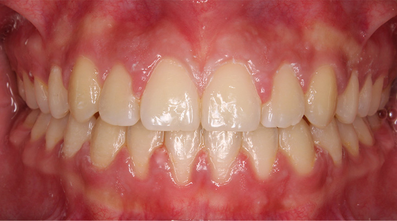
Es el tratamiento dental más solicitado en la actualidad ya que aumenta la autoestima del paciente, rejuvenece el aspecto físico y el procedimiento es sencillo, rápido e indoloro.
It is the most requested dental treatment today as it increases the patient's self-esteem, rejuvenates the physical appearance and the procedure is simple, fast and painless.
Estas se utilizan para cubrir completamente el diente destruido. Además, se puede utilizar para mejorar el aspecto estético en cuanto color, forma y alineación del diente.
These are used to completely cover the destroyed tooth. In addition, it can be used to improve the aesthetic appearance in terms of color, shape and alignment of the tooth.
Estos se utilizan para reemplazar uno o más dientes faltantes, y ocupan el espacio dejado por los mismos.
These are used to replace one or more missing teeth, and occupy the space left by them.
Este tipo de restauraciones son más conservadoras en comparación de las coronas ya que requieren un menor desgaste de la estructura dental y son altamente estéticas. Son mayormente utilizadas cuando la destrucción de diente abarca mas de una cara.
These types of restorations are more conservative compared to crowns since they require less wear on the dental structure and are highly aesthetic. They are mostly used when tooth destruction encompasses more than one face.
A base de estudios y medidas se realizan cambios de color, tamaño, forma y posición de los dientes, tomando en cuenta los aspectos importantes como la forma de cara y el color de piel, con el fin de brindarle un sonrisa más estética y en armonía con su rostro.
Based on studies and measurements, changes are made in color, size, shape and position of the teeth, taking into account important aspects such as face shape and skin color, in order to give you a more aesthetic and harmonious smile.
Ayudan a mantener en optimas condiciones el periodonto en caso de ser necesario regenerar tejido para evitar movilidad dental o sensibilidad ocasionada por recesión gingival, siempre buscando un tratamiento estético y armónico para la sonrisa del paciente.
They help to maintain the periodontium in optimal conditions if it is necessary to regenerate tissue to avoid dental mobility or sensitivity caused by gingival recession, always looking for an aesthetic and harmonic treatment for the patient's smile.
Los implantes dentales tienen gran popularidad ya que restaura áreas de piezas faltantes sin dañar a otros dientes, ya que va unido a hueso, disimulándose perfectamente entre los otros dientes, son una excelente opción a largo plazo y la sensación masticatoria es similar a los dientes naturales ya que se pueden utilizar en piezas unitarias, puentes y placas totales.
Dental Implants are very popular since it restores areas of missing parts without damaging others. Since it is attached to bone, they are perfectly hidden between other teeth, they are an excellent long-term option and the chewing sensation is similar to natural teeth since they can be used in unit parts, bridges and total plates.
Al igual que los dientes, la encía y el hueso forman un papel muy importante en la salud oral es por eso que se recomienda realizar limpiezas dentales cada 6 meses como prevención de enfermedades como gingivitis y periodontitis.
Similar to teeth, gum and bone form a very important role in oral health, that is why dental cleaning is recommended every 6 months to prevent diseases such as gingivitis and periodontitis.
Se le ensena al niño y a los padres la importancia de que aprendan a realizar correctamente su cepillado dental ya que cualquier alteración en dientes temporales, puede influir posteriormente en los permanentes.
Los odontopediatras también tratan otras alteraciones como problemas de fonación, traumatismos o maloclusiones.
Kids and parents are taught the importance of learning how to properly brush their teeth since any alteration in temporary teeth can subsequently influence permanent teeth.
Pediatric dentists also treat other conditions such as phonation problems, trauma or malocclusion.
La ortodoncia brinda un balance en boca ya que al tener una buena oclusión permite una masticación correcta, evita tensión sobre los músculos masticatorios, previene la perdida de piezas dentales y evita las caries y enfermedades de las encías, ya que la mal posición puede impedir una correcta limpieza dental.
Orthodontics provides a balance in the mouth since having a good occlusion allows correct chewing, prevents tension on the masticatory muscles, prevents the loss of dental pieces and prevents tooth decay and gum disease, since bad position can prevent proper dental cleaning.
Procedimiento realizado por especialista que tiene como finalidad remover la infección del diente y evitar la perdida total del diente. Tiene como objetivo volver a la estética y funcionalidad del diente que se encuentra en mal estado.
Is a procedure performed by a specialist whose purpose is to remove the infection of the tooth and prevent the total loss of it. It aims to return to the aesthetics and functionality of the tooth that is in poor condition.
Es un tratamiento odontológico no invasivo el cual se requiere solo tomar una impresión del área y sustituir las piezas con una prótesis removible parcial o total.
Con la prótesis dental el paciente evita que los dientes se desplacen y además recuperar la funcionalidad de todas las piezas y mostrar una mejor sonrisa.
It is a non-invasive dental treatment which only requires taking an impression of the area and replacing the pieces with a partial or total removable prosthesis.
With the dental prosthesis the patient prevents the teeth from moving and also recover the functionality of all the pieces and show a better smile.
También conocidos como bonding dental, es resina colocada en dientes anteriores para hacer pequeños cambios estéticos en la sonrisa del paciente.
Also known as 'Dental Bonding', this procedure uses resin placed on the anterior of teeth to make small aesthetic changes in the patient's smile.
La Gingivitis es una Enfermedad bacteriana, que provoca inflamación y sangrado de las encías.
Gingivitis is a bacterial disease, which causes inflammation and bleeding of the gums.
La Periodontitis Infección grave que daña tejidos blandos y destruye hueso que sostiene los dientes provocando movilidad.
Periodontitis is a serious infection that damages soft tissues and destroys bone that supports the teeth causing mobility.
Incluye:
Tiempo aproximado: 90 minutos
(sólo si es requerido)
Includes:
Approximate time: 90 minutes
(only if required)
Incluye:
Tiempo aproximado: 40 minutos
Includes:
Approximate time: 40 minutes
Incluye:
Incluye:
Incluye:
Tiempo Aproximado: 90 minutos
Incluye:
Approximate time: 90 minutes
Tiempo aproximado: 60 minutos
Approximate time: 60 minutos
Inlay u Onlay
Incluye:
Se requieren 2 citas
Tiempo en laboratorio: 1 ó 2 días
Includes:
2 appointments are required
Laboratory time: 1 or 2 days
Incluye:
Se requieren 2 citas
Tiempo en laboratorio: 3 días
Includes:
2 appointments are required
Laboratory time: 3 days
Coronas temporales con duración de 6 meses
Se entregan el mismo día
Temporary crowns lasting 6 months
They are delivered the same day
Para bruxismo
Se requieren 2 citas
for bruxism
2 appointments are required
Con corona de cerámica
Se requieren de 2 a 3 citas
With ceramic crown
2 to 3 appointments are required
Con corona de cerámica
Se requieren de 2 a 3 citas
With ceramic crown
2 to 3 appointments are required
Se requieren de 2 citas
2 appointments are required
Se requieren de 3 citas
3 appointments are required
Quirúrgica
Simple
Surgical
Simple
| Tipo de aparatos | Colocación de aparatos | Mensualidad |
|---|---|---|
| Metálico | $200 USD | $50 USD |
| Ceramico | $300 USD | $50 USD |
| Autoligado Metálico | $500 USD | $60 USD |
| Autoligado Cerámico | $800 USD | $60 USD |
| Type of work | Mounting type | Monthly payment |
|---|---|---|
| Metallic | $200 USD | $50 USD |
| Ceramic | $300 USD | $50 USD |
| Metallic self-alloying | $500 USD | $60 USD |
| Ceramic Self-ligating | $800 USD | $60 USD |
| Tipo | Pago inicial | Mensualidad |
|---|---|---|
| 5 meses | $600 USD | $60 USD |
| 12 meses | $1,500 USD | $60 USD |
| 24 meses | $1,800 USD | $60 USD |
| Type | Initial payment | Monthly payment |
|---|---|---|
| 5 months | $600 USD | $60 USD |
| 12 months | $1,500 USD | $60 USD |
| 24 months | $1,800 USD | $60 USD |
| Consulta y limpieza dental | $60 USD |
| Sellador | $40 USD |
| Resina estética | $50 USD |
| Pulpotomía/Pulpectomía | $70 USD |
| Corona metálica | $80 USD |
| Corona de zirconia | $200 USD |
| Corona celuloide | $90 USD |
| Extracción | $30 USD |
| Mantenedor de espacio unilateral | $75 USD |
| Mantenedor de espacio bilateral | $90 USD |
| Frente estético (prótesis fija) | $120 USD |
| Dental consultation and cleaning | $ 60 USD |
| Sealer | $ 40 USD |
| Aesthetic resin | $ 50 USD |
| Pulpotomy/Pulpectomy | $ 70 USD |
| Metal crown | $ 80 USD |
| Zirconia crown | $ 200 USD |
| Celluloid crown | $ 90 USD |
| Extraction | $ 30 USD |
| One-sided space maintainer | $ 75 USD |
| Bilateral space maintainer | $ 90 USD |
| Aesthetic front (fixed prosthesis) | $ 120 USD |
Al utilizar un tratamiento de ortodoncia se obtiene los siguientes beneficios:
Funcionales
Al masticar y morder, los dientes no presentarán tanto desgaste a demás reducirán su sensibilidad al estar en buena posición.
Estéticos
Sonrisa mas alineada y radiante la cual mejorará tu autoestima
Salud
Mejor higiene a la hora del cepillado y uso de hilo dental por consiguiente se tiene menos incidencia de caries. Notarás menos tensión en zonas que ésta se acumula por masticación incorrecta como en espalda, oídos, cabeza y articulación temporomandibular.
By using orthodontic treatment the following benefits are obtained:
Functional
When chewing and biting, the teeth will not present as much wear and tear, others will reduce
their sensitivity to being in good position.
Aesthetics
Smile more aligned and radiant which will improve your self-esteem
Health
Better hygiene when brushing and flossing therefore has
less incidence of cavities. You will notice less tension in areas that accumulate
by improper chewing such as back, ears, head and joint
temporomandibular.

Existen diferentes tipos de aparatos para realizar tratamiento ortodoncia con la ayuda de la evaluación dental y estudios necesarios podemos darte las mejores opciones de acuerdo a tus necesidades.
Durante el tratamiento de ortodoncia se tomarán fotografías periódicas para evaluar los movimientos y avances que se le mostrarán al paciente. También se monitoreará cada 6 meses por medio de una radiografía panorámica las raíces y hueso para garantizar un óptimo tratamiento.
There are different types of appliances to perform orthodontic treatment with the help of dental evaluation and necessary studies, we can give you the best options according to your needs.
During the orthodontic treatment, periodic photographs will be taken to evaluate the movements and advances that will be shown to the patient. The roots and bone will also be monitored every 6 months by means of a panoramic X-ray to guarantee an optimal treatment.
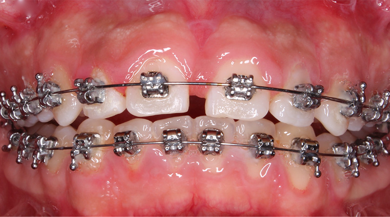
Brackets Metálicos
Son los aparatos de ortodoncia más utilizado consiste en un arco para aplicar presión y una ligadura para sostener el arco, éstas ligaduras pueden ser del color que tú prefieras.
Bracket Cerámico
Son aparatos de ortodoncia visiblemente mas estético ya que el color del bracket es similar al diente, cuenta con un arco para aplicar presión y ligaduras para sostener el arco.
Brackets de Autoligado Metálico/Cerámico
Son aparatos de ortodoncia que tienen una compuerta que atrapa al arco metálico sin necesidad de utilizar ligadura, existen dos presentaciones de autoligado el de bracket metálico y el de bracket cerámico que este último es visiblemente mas estético ya que se asemeja al color del diente.
Metal Brackets
They are the most used orthodontic appliances, they sew on an arch to apply pressure and a ligature to hold the arch, these ligatures can be the color you prefer.
Ceramic Bracket
They are visibly more aesthetic orthodontic appliances since the color of the bracket is similar to the tooth, it has an arch to apply pressure and ligatures to hold the arch .
Self-ligating Metallic / Ceramic Brackets
They are orthodontic appliances that have a gate that traps the metal arch without the need to use ligature, there are two presentations of self-ligating the metal bracket and the ceramic bracket, the latter is visibly more aesthetic since it resembles the color of the tooth.
Ventajas de los brackets de autoligado:
Proporciona movimientos mas rápidos de los dientes, por lo cual el tratamiento puede durar menos tiempo.
Mejor higiene ya que no requiere ligaduras ya que estas atrapan alimento.
Los ajustes con el ortodoncista son más espaciadas cada 5 o 8 semanas depende del caso.
Provides faster movements of the teeth, so the treatment can last less time
Better hygiene since it does not require ligatures since they trap food
The adjustments with the orthodontist are more spaced every 5 or 8 weeks depending on the case

Son aparatos de ortodoncia que se realizan en laboratorio con máquinas 3D que simula los movimientos de los dientes y por medio de esto se genera una férula de ortodoncia casi imperceptible y cómodo a diferencia de los brackets convencionales no requiere cementado de brackets ni aparatos ortopédicos.
They are orthodontic appliances that are made in the laboratory with 3D machines that simulate the movements of the teeth and through this an almost imperceptible and comfortable orthodontic splint is generated, unlike conventional brackets, it does not require cementation of brackets or appliances. orthopedic.
Advantages
Ventajas
La férula o alineadores son perfectamente extraíble, pudiendo ser retirados perfectamente para las comidas y cepillado, lo que los hace sumamente cómodos, no existe limitaciones al tipo de comida, ya que se pueden extraer para comer
Desventajas
Cada alineador se remplaza cada 2 semanas.
Dado que se deben de quitar para comer se deben de guardar en su caja ya que son fáciles de perder.
Dependiendo de los hábitos del paciente es el avance del tratamiento ya que el paciente puede olvidar colocarlo por días y no tener el avance necesario para completar el tratamiento en el tiempo que se estimó.
Acudir al odontopediatra durante sus primeros años trae muchos beneficios al desarrollo de tu hijo, ya que podrá formar un vínculo con el especialista y presentarse mas cooperador con el dentista evitando miedo y ansiedad.
Así como evaluar en sus revisiones su crecimiento óseo ya que se puede detectar una malformación en etapas tempranas y realizar tratamiento de ortopedia para corregirlo.
Going to the pediatric dentist during his first years brings many benefits to the development of your child, since he will be able to form a bond with the specialist and appear more cooperative with the dentist avoiding fear and anxiety.
As well as evaluate your bone growth in your check-ups since a malformation can be detected in the early stages and orthopedic treatment to correct it.


En el consultorio se trabaja con máquinas que mediante un software diseñamos tu restauración de cerámica de acuerdo a tu necesidades, gracias a eso si se agenda con tiempo se puede realizar la preparación, tomar impresión, trabajar en el laboratorio y cementar la restauración final el mismo día.
We work with machines using special software to design your ceramic restoration according to your needs, thanks to that, if you schedule in advance, you can make the preparation, take an impression, work in the laboratory and cement the restoration. end the same day.
Para realizarlo se requiere una valoración, toma de modelos de estudio donde también se realiza una entrevista al paciente de cuales son sus necesidades, ya que los diseños de sonrisa no solo es colocar carillas dentales (veneers), muchas veces podemos logar ser mínimamente invasivos realizando pequeños cambios que hacen una gran diferencia como:
To do this, an assessment is required, taking study models where an interview is also carried out with the patient of what their needs are, since smile designs are not only about placing dental veneers, many times we can be minimally invasive by making small changes that make a big difference such as:

Torre Quatro, Frida Kahlo local 508
Zona Urbana Rio Tijuana, 22010 Tijuana, B.C.
© Dentista Olivas. Todos los Derechos ReservadosAll rights reserved.